WDF - Clotting
SFL
SSC
Lymphocytes
Monocytes
Neutrophils
Eosinophils
Basophils
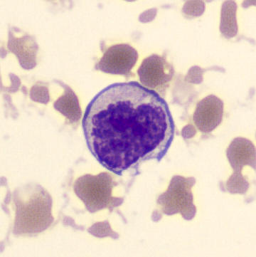
To the left of the normal lymphocyte population , a second population is visible . This arises when the coagulation cascade in the tube is highly activated. As far as is known, this always involves a pre-analytical problem. Causes may include that the blood was initially collected in a clotting tube and then transferred into an EDTA tube, or heat activation; for example, when the blood was placed in an excessively hot water bath or exposed to elevated temperatures during transport.
Possible morphology














































