WDF - Plasmozytose
SFL
SSC
Lymphozyten
Monozyten
Neutrophile
Eosinophile
Basophile
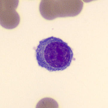
Plasmazellen weisen in der Regel ein sehr hohes SFL-Signal auf und positionieren sich am oberen Rand des Plots . In der Regel fällt auf, dass die vermeintlichen Plasmazellen keine Verbindung mit der normalen Lymphozytenpopulation aufweisen .
Eine bösartige Plasmozytose kann u. a. bei Plasmazellleukämie, multiplem Myelom und lymphoplasmozytärem Lymphom auftreten. Mögliche gutartige Ursachen sind Dengue-Infektionen oder die Einnahme von Medikamenten gegen die Schilddrüse.
Mögliche Morphologie

















































