Hematopoiesis
The diagram below is a schematic representation of haematopoiesis; where the haematopoietic stem cell develops in the bone marrow into a thrombocyte, leukocyte or erythrocyte and is delivered to the bloodstream. Click on one of the following buttons to see the location of maturation in a healthy person.
Loading...




Hematopoietic Stem Cell


Myeloid Progenitor Cell
Megakaryoblast
Promegakaryocyte
Megakaryocyte



Thrombocyte




Proerythroblast





Basophilic Erythroblast




Polychromatic Erythroblast





Orthochromic Erythroblast






Polychromatic Erythrocte

Erythrocyte









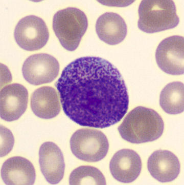
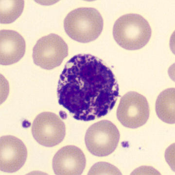
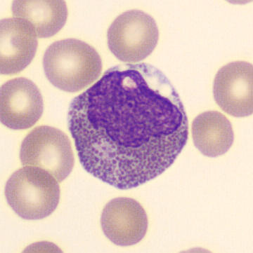
Myeloblast
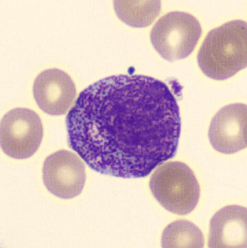
Promyelocyte (basophilic)
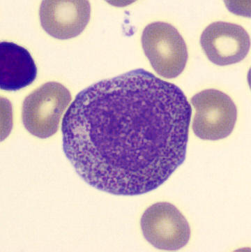
Myelocyte
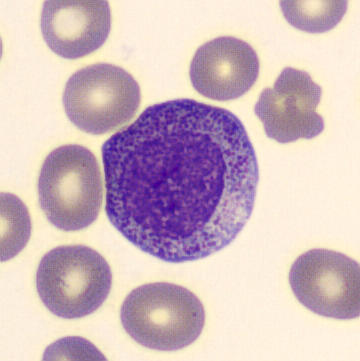
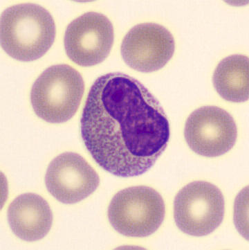
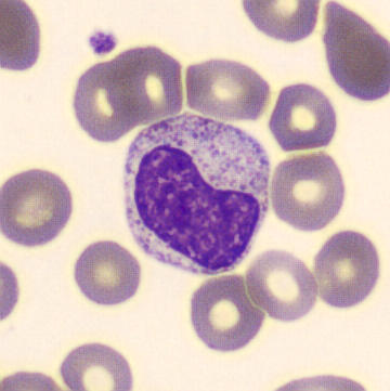
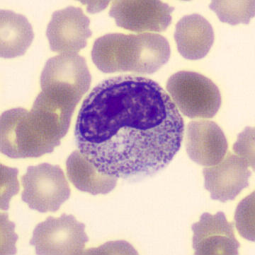
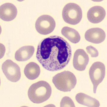
Metamyelocyte
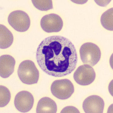
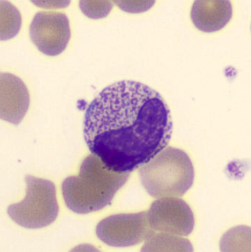
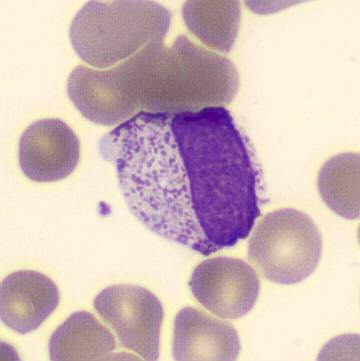
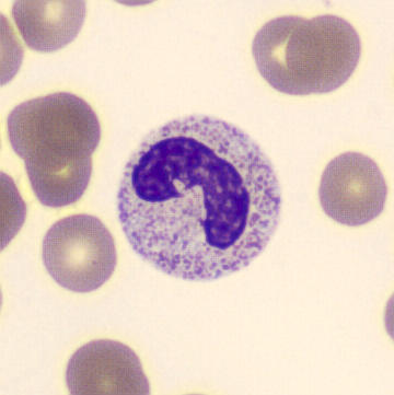
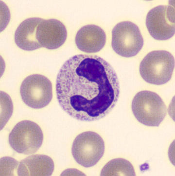
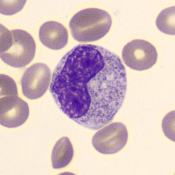
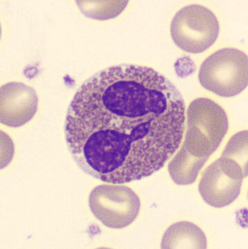
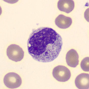
Band
/myelocyte/metamyelocyte/band/segment/001.jpg)
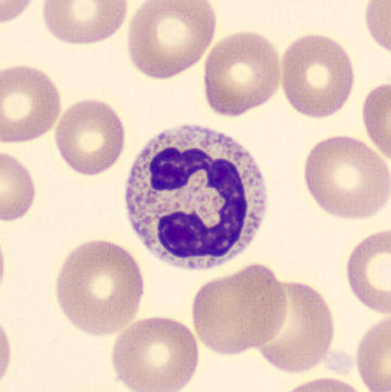
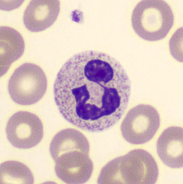
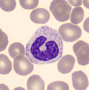
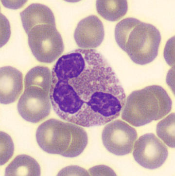
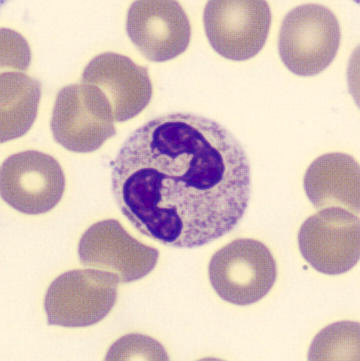
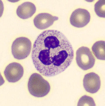
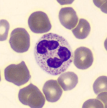
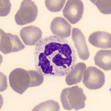
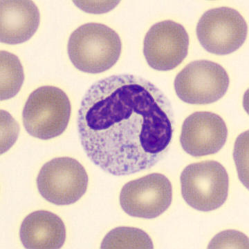
Segment
Promyelocyte (eosinophilic)
/myelocyte/001.jpg)
/myelocyte/002.jpg)
/myelocyte/003.jpg)
Myelocyte
/myelocyte/metamyelocyte/001.jpg)
/myelocyte/metamyelocyte/002.jpg)
/myelocyte/metamyelocyte/003.jpg)
Metamyelocyte
/myelocyte/metamyelocyte/band/001.jpg)
/myelocyte/metamyelocyte/band/002.jpg)
/myelocyte/metamyelocyte/band/003.jpg)
/myelocyte/metamyelocyte/band/004.jpg)
Band
/myelocyte/metamyelocyte/band/segment/001.jpg)
/myelocyte/metamyelocyte/band/segment/002.jpg)
/myelocyte/metamyelocyte/band/segment/003.jpg)
Segment
/neutrophil_promyelocyte_0.jpg)
/neutrophil_promyelocyte_1.jpg)
/neutrophil_promyelocyte_10.jpg)
/neutrophil_promyelocyte_11.jpg)
/neutrophil_promyelocyte_12.jpg)
/neutrophil_promyelocyte_13.jpg)
/neutrophil_promyelocyte_14.jpg)
/neutrophil_promyelocyte_15.jpg)
/neutrophil_promyelocyte_2.jpg)
/neutrophil_promyelocyte_3.jpg)
/neutrophil_promyelocyte_4.jpg)
/neutrophil_promyelocyte_5.jpg)
/neutrophil_promyelocyte_6.jpg)
/neutrophil_promyelocyte_7.jpg)
/neutrophil_promyelocyte_8.jpg)
Promyelocyte (neutrophilic)
/myelocyte/neutrophil_myelocyte_0.jpg)
/myelocyte/neutrophil_myelocyte_1.jpg)
/myelocyte/neutrophil_myelocyte_2.jpg)
/myelocyte/neutrophil_myelocyte_3.jpg)
/myelocyte/neutrophil_myelocyte_4.jpg)
/myelocyte/neutrophil_myelocyte_5.jpg)
/myelocyte/neutrophil_myelocyte_6.jpg)
/myelocyte/neutrophil_myelocyte_7.jpg)
/myelocyte/neutrophil_myelocyte_8.jpg)
Myelocyte
/myelocyte/metamyelocyte/neutrophil_metamyelocyte_0.jpg)
/myelocyte/metamyelocyte/neutrophil_metamyelocyte_1.jpg)
/myelocyte/metamyelocyte/neutrophil_metamyelocyte_2.jpg)
/myelocyte/metamyelocyte/neutrophil_metamyelocyte_3.jpg)
/myelocyte/metamyelocyte/neutrophil_metamyelocyte_4.jpg)
/myelocyte/metamyelocyte/neutrophil_metamyelocyte_5.jpg)
/myelocyte/metamyelocyte/neutrophil_metamyelocyte_6.jpg)
/myelocyte/metamyelocyte/neutrophil_metamyelocyte_7.jpg)
Metamyelocyte
/myelocyte/metamyelocyte/band/001.jpg)
/myelocyte/metamyelocyte/band/neutrophil_band_1.jpg)
/myelocyte/metamyelocyte/band/neutrophil_band_2.jpg)
/myelocyte/metamyelocyte/band/neutrophil_band_4.jpg)
/myelocyte/metamyelocyte/band/neutrophil_band_5.jpg)
/myelocyte/metamyelocyte/band/neutrophil_band_6.jpg)
/myelocyte/metamyelocyte/band/neutrophil_band_7.jpg)
/myelocyte/metamyelocyte/band/neutrophil_band_8.jpg)
Band
/myelocyte/metamyelocyte/band/segment/neutrophil_segment_0.jpg)
/myelocyte/metamyelocyte/band/segment/neutrophil_segment_1.jpg)
/myelocyte/metamyelocyte/band/segment/neutrophil_segment_2.jpg)
/myelocyte/metamyelocyte/band/segment/neutrophil_segment_3.jpg)
/myelocyte/metamyelocyte/band/segment/neutrophil_segment_4.jpg)
/myelocyte/metamyelocyte/band/segment/neutrophil_segment_5.jpg)
/myelocyte/metamyelocyte/band/segment/neutrophil_segment_6.jpg)
/myelocyte/metamyelocyte/band/segment/neutrophil_segment_7.jpg)
Segment




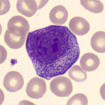
Monoblast





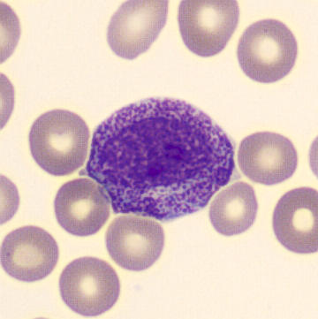
Promonocyte





Monocyte

Macrophage



Lymphoid Progenitor Cell




Lymphoblast




Prolymphocyte






Large Granular Lymphocyte






T-lymphocyte







B-lymphocyte









Plasma Cell
